Người đàn ông hôn mê vì uống an cung ngưu hoàng ngừa tai biến não
Bác sĩ chuyên khoa 2 Nguyễn Đặng Khiêm, Trưởng Khoa Cấp cứu, Bệnh viện Hữu Nghị cho biết, bệnh nhân L.V.L. (70 tuổi, Định Công, Hoàng Mai, Hà Nội) mới được đưa vào viện cấp cứu ngày 26/6 trong tình trạng bị hôn mê sau khi uống thuốc an cung ngưu hoàng hoàn ngừa tai biến não.
![]() |
|
Người đàn ông hôn mê vì uống an cung ngưu hoàng ngừa tai biến não. |
Người nhà bệnh nhân cho biết, trước đó khoảng 1 tuần ông L. bị ngã và xuất hiện tình trạng đau đầu chóng mặt. Lo ngại bị tai biến mạch máu não, gia đình đã cho ông uống cho uống 4 liều thuốc an cung ngưu hoàng hoàn để dự phòng tai biến.
Sau 4 liều thuốc này, ông L. bắt đầu có biểu hiện bất thường, hôn mê nên người thân đưa vào bệnh viện cấp cứu.
BS Khiêm cho biết, khi tiếp nhận bệnh nhân, các bác sĩ đã nhanh chóng chỉ định chụp cắt lớp CT và phát hiện bệnh nhân bị xuất huyết não có cục máu tụ dưới màng cứng. Ngay lập tức, bệnh nhân được tiến hành xử lý lấy máu tụ và sức khoẻ ổn định sau 4 ngày can thiệp.
BS Khiêm cũng cảnh báo, an cung ngưu hoàng hoàn không có tác dụng dự phòng tai biến mạch máu não. Đây là loại thuốc dùng trong trường hợp bị tai biến nhồi máu và phải có chỉ định từ bác sĩ nhưng trên thực tế người dân sử dụng rất bừa bãi.
Rất nhiều bệnh nhân cao huyết áp luôn dự phòng an cung ngưu hoàng hoàn để dự phòng tai biến mạch máu não, dù đây là thuốc điều trị không phải thuốc dự phòng.
"Hơn nữa, về lý thuyết, bệnh nhân bị tai biến nhồi máu não uống an cung ngưu có thể cải thiện lâm sàng do thuốc làm giảm yếu tố đông máu. Tuy nhiên, khi xảy ra tai biến, không ai có thể xác định bệnh nhân đang bị nhồi máu não hay xuất huyết não khi chưa tới bệnh viện để chẩn đoán. Trong trường hợp bị tai biến xuất huyết não, uống an cung ngưu càng nguy hiểm vì gia tăng chảy máu.
Do thuốc an cung ngưu có tác dụng chống đông. Bệnh nhân đang bị xuất huyết máu não, cần cầm máu không cho chảy thì lại uống An cung khiến máu không thể đông lại, càng chảy máu nhiều thêm, nguy hiểm cho người bệnh. Vì thế, trước khi dùng thuốc, người bệnh cần được chụp cộng hưởng từ, chẩn đoán chính xác tình trạng tai biến mạch máu não có chảy máu hay không”, bác sĩ Khiêm cảnh báo.
BS Khiêm phân tích thêm: "Kể cả trong trường hợp tai biến nhồi máu não, nếu bệnh nhân có đông tắc mạch thì việc tùy tiện dùng thuốc an cung ngưu cũng rất nguy hiểm. Vì nếu vùng nhồi máu quá lớn, dùng thuốc An cung sẽ gây nguy cơ chảy máu bên trong vùng nhồi máu làm tình trạng chảy máu thêm trầm trọng hơn".
Bác sĩ khuyến cáo, thuốc An cung ngưu hoàng hoàn được chỉ định dùng cho các trường hợp tai biến mạch máu não do thiếu máu, tắc mạch, nhồi máu.... Tuy nhiên, tuyệt đối không dùng thuốc này cho bệnh nhân bị tai biến máu não do chảy máu.
Và vì là thuốc điều trị, nên không được tuỳ tiện dùng. Với bất cứ trường hợp tai biến mạch máu não nào, việc can thiệp sớm trong giờ vàng (3-4 giờ sau khi có biểu hiện) rất quan trọng để cứu sống người bị tai biến mạch máu não.
Cùng quan điểm này, GS.TS Nguyễn Gia Bình, nguyên Trưởng khoa Hồi sức tích cực (BV Bạch Mai) cho biết, quá nhiều lời đồn thổi về loại “thần dược” an cung ngưu hoàng mạnh đến mức khiến nhiều người lưu trữ trong nhà, coi đây là một lá “bùa hộ mệnh” khi có tai biến. Không ít người đã ngậm ngùi vì người thân không qua khỏi, sống thực vật vì tin tưởng an cung ngưu hoàng.
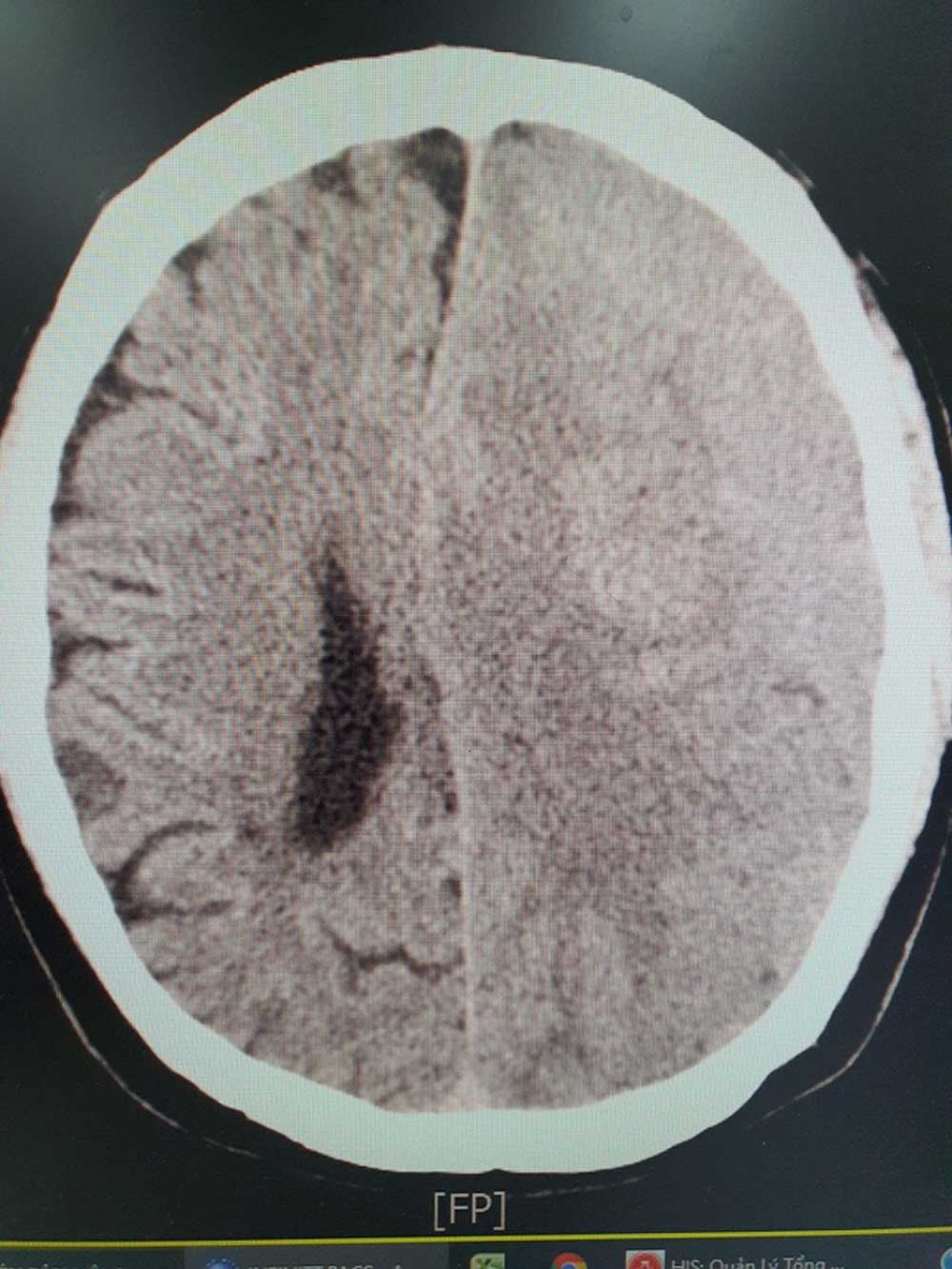
![]() |
|
Khối xuất huyết não của bệnh nhân trên hình ảnh chụp CT. |
GS Bình cho biết, ông đã gặp nhiều bệnh nhân bị tai biến mạch máu não không qua khỏi, hoặc để lại di chứng nặng nề do uống an cung ngưu hoàng.
“Đó là những trường hợp xuất huyết não, được người thân cho uống an cung ngưu hoàng trước khi nhập viện. Hậu quả là máu chảy ồ ạt, không cứu được người bệnh. Có cứu được thì não cũng bị di chứng nặng, sống cuộc sống thực vật”, GS Bình nói.
Điều này có nghĩa việc người dân trữ an cung ngưu hoàng trong nhà để dùng khi có tai biến là rất nguy hiểm. Bởi tai biến mạch máu não là một từ rất là chung liên quan đến các bệnh lý của mạch máu, trong đó có thể chảy máu não (xuất huyết não), nhồi máu não (tắc mạch não), theo đó cách điều trị cũng khác nhau.
Bác sĩ khuyến cáo khi phát hiện người thân có bất cứ biểu hiện nào liên quan đến tai biến, cần nhanh chóng đưa đến viện để được chẩn đoán, điều trị tốt nhất.
Theo Dân trí
Bắc Ninh























Ý kiến bạn đọc (0)