Cụ ông ở Bắc Giang suýt mất mạng vì rơi cả hàm răng giả vào sâu trong phế quản
Tối 14-8, Bệnh viện Phổi Trung ương cho biết, các bác sĩ của bệnh viện vừa gắp ra từ sâu trong phế quản gốc trái của một cụ ông ở Bắc Giang. Quá trình can thiệp diễn ra kịp thời và bảo đảm an toàn.
![]() |
|
Các bác sĩ phẫu thuật lấy răng giả ra cho cụ ông. |
Cụ ông N.T “gắn bó” với cầu răng giả hàm dưới cả chục năm nay. Cụ thường xuyên có thói quen tháo lắp hàm răng để vệ sinh hàng ngày.
Trước đó, trong quá trình nằm viện để điều trị di chứng do tiền sử lao phổi, trong một cơn ho khạc đờm mạnh, toàn bộ hàm răng giả của cụ bị rơi và mắc kẹt vào khí phế quản gốc bên trái, gây tắc nghẽn đường thở và đe dọa tính mạng.
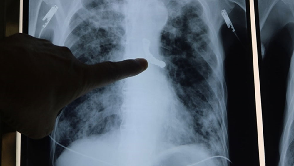
![]() |
|
Hình ảnh ăng giả rơi vào phế quản gốc bên trái. |
Ngay sau đó, cụ được các bác sĩ chuyển sang Khoa Hồi sức tích cực và được tiến hành nội soi phế quản gắp dị vật ra ngoài, giải phóng đường thở. Quá trình thực hiện đã thành công, hiện tại, cụ đã cảm thấy dễ chịu hơn.
Cụ N.T không phải là trường hợp hy hữu đầu tiên. Năm 2018, Bệnh viện Phổi Trung ương cũng tiếp nhận một cụ ông bị rơi một hàm gồm 4 chiếc răng vào phế quản, năm nay trường hợp này bị tới 9 chiếc răng sứ kim loại với chiều dài lên tới gần 5 cm nên quá trình nội soi lấy dị vật phức tạp hơn, đòi hỏi các chuyên gia nội soi nhiều kinh nghiệm.
Bác sĩ Nguyễn Lê Nhật Minh, Trưởng Khoa Nội soi Chẩn đoán và can thiệp, Bệnh viện Phổi Trung ương cho biết: “Đây là một trường hợp dị vật khó, do bề mặt răng sứ rất trơn nên không thể dùng kìm để gắp được, hơn nữa, người bệnh còn bị suy hô hấp và đang phải thở máy. Ekip nội soi phế quản lấy dị vật đã phải đưa ống nội soi vào trong ống nội khí quản và dùng một thiết bị thòng lọng để thít vào cầu răng giả và lấy ra đồng thời khi rút ống nội khí quản. Ngay sau đó, người bệnh được đặt lại ống nội khí quản, mọi chỉ số thông khí đều ổn định trước và sau khi can thiệp”.
Các bác sĩ khuyến cáo, những người lắp răng giả phải hết sức cẩn trọng trong ăn, uống, sinh hoạt.
Theo CAND
Bắc Ninh




















Ý kiến bạn đọc (0)